|
|
|
|
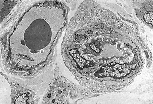
最细小的微静脉管壁由内皮(横切面上至少3个相邻的内皮细胞)构成,内皮贴附于薄层结缔组织上。若内皮细胞数量少于该数值,则判定为毛细血管。
通常,微静脉内皮细胞核呈扁平状:不会像同口径微动脉的细胞核那样向管腔内疝出。 外膜的内皮周围结缔组织具有结构化排列,这是其与毛细淋巴管的鉴别要点。 |
|
|
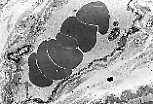
小口径微动脉与微静脉的区别:微静脉管腔更呈椭圆形,且无内弹性膜和中膜结构。 |
|
|
微静脉的管腔口径常不规则。
外膜始终存在。 |
| 直径 > 45μm 的微静脉 | |
|
|
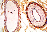
当直径达到45μm时,微静脉开始出现含少量平滑肌细胞的中膜。与静脉类似,微静脉也可出现静脉瓣。 |
|
|
微静脉的中膜可形成由平滑肌细胞构成的连续鞘状结构,但这些细胞绝不会像微动脉那样呈现特征性的致密同心环状排列。
静脉瓣的存在也可排除微动脉的可能。 |
|
|
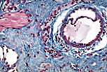
微静脉的管腔常呈长椭圆形。
此微静脉中膜含2~3层平滑肌细胞,与外膜无明显分界。 注:按惯例,当中膜平滑肌细胞层数超过3层时,该血管定义为静脉。 |
|
|
地衣红染色显示,微静脉管壁内的弹性纤维数量少且结构松散(静脉管壁亦是如此),与动脉形成鲜明对比。 |