毛细血管前动脉(微动脉)

  • 定义 - 管壁结构
    毛细血管前动脉(微动脉)与小动脉的区别在于其管径小于100微米,且管壁结构简化,是毛细血管网的前序血管。
    • 内弹性膜不恒定(可有可无)。
    • 中膜始终存在,但最多仅含1-3层平滑肌细胞。(按惯例,若中膜含4层平滑肌细胞,则该血管被归为小动脉。)
    • 外膜极薄,有时甚至缺如。
  • 微动脉的观察

管壁结构

内皮细胞核凸向管腔;
内弹性膜几乎难以辨认(白色细纹);
中膜由1-2层平滑肌细胞构成,形成连续的嗜酸性肌鞘,这种致密的中膜结构是微动脉与微静脉的鉴别要点;
外膜极不明显。
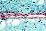
光镜下(M.O.)观察到的微动脉不同切面
在纵切面(C.L.)中,单层平滑肌构成的微动脉可见内皮细胞核沿血流方向伸展,平滑肌细胞呈横断状态;
其管径规则。
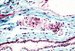
该微动脉的切线切面中,焦点对准沿血管长轴延伸的内皮细胞核。
在同一切线切面上,焦点对准中膜的平滑肌细胞;
环行平滑肌细胞核的长轴与内皮细胞核长轴呈垂直关系。
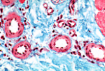
此处可见微动脉的多种切面:横切面、纵切面和切线切面。
透射电镜下(M.E.T.)观察的微动脉
透射电镜下观察横断的微动脉,由内向外依次可见:内皮、呈皱褶状的内弹性膜、仅含单层平滑肌细胞的中膜和外膜。
该视野清晰显示:附着于基底膜上的内皮细胞、内弹性膜、中膜的平滑肌细胞;外膜含少量无髓神经纤维(参与微动脉的血管运动调节)及成纤维细胞的胞质突起。