肌性动脉

  • 定义
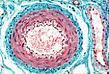
    肌性动脉包括中管径动脉(直径小于5毫米)和小管径动脉(小于2毫米)。
  • 管壁结构
    其管壁包含三层结构:
    • 内膜:由内皮细胞、基底膜和内弹性膜构成;
    • 中膜:由同心环状排列的平滑肌细胞构成的致密肌鞘;
    • 外膜:较薄的膜层,含与血管长轴平行的胶原纤维和弹性纤维;
  • 功能
    肌性动脉承担着调节血液分布和维持动脉血压的作用(外周阻力)。
在组织切片(C.T.)中,动脉的管腔始终呈圆形。
其“管壁面积/总面积”的比值高于弹性动脉。
在组织切片上,内皮细胞核凸向管腔,内弹性膜呈皱褶状:这种人工假象是由于固定过程中中膜收缩所致。
动脉中膜的平滑肌细胞间仅含少量结缔组织,这种致密的中膜结构是区分肌性动脉与肌性静脉的最佳依据。
动脉外壁2/3区域的营养由来自外膜的微小血管(血管滋养管)供应,内层1/3则通过管腔内血液的扩散获得营养。
高倍镜下可见动脉组织切片的主要特征:
  - 凸向管腔的内皮细胞核,
  - 皱褶状的内弹性膜,
  - 致密的中膜肌鞘。
地衣红染色可显示动脉管壁中富含弹性纤维的区域,即内弹性膜和外膜。
内弹性膜的弹性纤维在荧光显微镜下具有自发荧光特性。