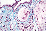
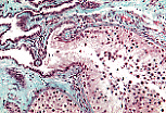
直精小管

在每个睾丸小叶的末端,小叶内的2-3条生精小管汇合为单一、直行且相对短小的结构:直精小管。
生精小管与直精小管之间的过渡是突然发生的,其特征为:
      -  生精上皮消失
      -  在短的过渡段内,仅存在支持细胞(塞尔托利细胞)。
过渡区的支持细胞会在管壁一侧形成通常更发达的环带结构:即支持细胞垫(塞尔托利垫)。
直精小管的管壁由单层立方或扁平上皮构成,该上皮贴附于基膜之上。
在这张生精小管末端与直精小管连接处的斜切切片上,能非常清晰地观察到支持细胞垫(塞尔托利垫)。