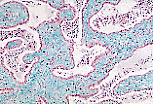
睾丸网
组成 - 位置
直精小管汇入睾丸网(哈勒网),该结构呈迷宫状,
位于睾丸纵隔(希莫尔体)内
。
睾丸网由相互吻合的腔隙、管道和裂隙构成,管径大小不一,嵌于睾丸纵隔的致密结缔组织团块中。
睾丸网的腔隙衬有单层上皮,该上皮由扁平、立方或柱状细胞组成,由此形成特征性的锯齿状外观。
睾丸网的管腔内常充满精子和细胞碎片。