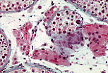
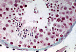
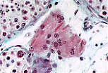
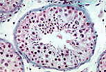
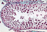
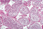
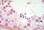
男性生殖系统

第1页/共4页 查看页码 1 2 3 4