-
位置与结构
精囊开口于输精管壶腹部与射精管的连接处,由盘曲的粗大管道构成,管道周围环绕有平滑肌束。
-
功能
精囊分泌物占射出精液的70%至80%,富含果糖(精子的主要营养物质)和前列腺素。
|
|
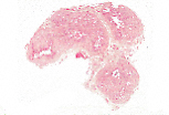
精囊为形态不规则、表面凹凸不平的盘曲管状器官,由黏膜层、肌层和外膜层构成。
|
|
黏膜具有细长的初级皱襞,初级皱襞上又布满常相互吻合的次级和三级皱襞,
形成呈蕾丝状、迷宫样的腔隙。
|
|
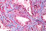
精囊黏膜上皮由相对高柱状的细胞构成,细胞顶部无明显分化,胞质中可含脂褐素色素。
该色素在本标本中不可见,其含量随年龄增长而增加,使上皮呈现赭石色。
|
|
精囊的肌层较薄且排列不规则,分为内层环行肌和外层纵行肌。
|
|
外膜层富含血管和神经。
|