前列腺

  • 位置
    前列腺为单一的正中器官,位于膀胱下方,前列腺尿道和射精管从中穿过。
  • 分区
    病理解剖学将其简化分为两个区域:
    • 中央纤维肌核区:前列腺尿道从中穿过,具有较高的良性肿瘤发生潜能;
    • 周围区:富含腺体组织,具有较高的恶性肿瘤发生潜能。
  • 功能
    前列腺分泌物是精液中柠檬酸和酸性磷酸酶的主要来源,还含有各种离子、多种酶类以及精胺等蛋白质。
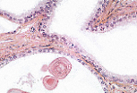
前列腺的分泌单位为分支管状腺泡腺。每个腺体由粗大的分支管状结构(分泌部)组成, 管状结构上开口有大量腺泡(同样具有分泌功能)。
腺体之间的固有层富含平滑肌细胞。
腺腔由结缔组织小棘撑起的上皮围成,这些小棘勾勒出腺泡的形态。
固有层中可见散在分布于胶原纤维之间的平滑肌细胞。
前列腺腺上皮为单层或假复层上皮。
包含以下细胞类型:
     - 胞质透亮、泡沫状的柱状或立方细胞;
     - 扁平的基底细胞,核深染,与基膜相接触;
     - 散在的内分泌细胞(三色染色下不可见),分布于柱状细胞之间。
前列腺腺腔内可见圆形、层板状钙化的沉积物:即罗宾复合小体(前列腺结石)。