子宫体
|
|
子宫壁从内到外由三层结构组成:
- 黏膜层(子宫内膜); - 肌层(子宫肌层); - 外膜层(部分被腹膜/浆膜覆盖的结缔组织)。 |
|
|
女性子宫内膜可分为两个不同区域:浅层的功能层和深层的基底层(储备层)。
功能层会随月经周期发生变化,并在每次月经时脱落。该层受激素调控,因此在青春期前和绝经后缺失。 基底层为永久性结构,可在月经后重建功能层。 |
|
|
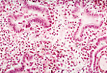
子宫内膜表面被覆单层柱状上皮,该上皮向固有层凹陷形成腺体。
上皮包含两种细胞类型:纤毛细胞(数量少)和无纤毛分泌细胞。
下方的固有层为纯细胞性结缔组织,富含成纤维细胞,结缔组织纤维(主要为网状纤维)含量少,且血供丰富。 |
|
|
| 周期第一阶段 | |
|
增殖期 (第5至14天) |
|
|
|
增殖期此阶段,子宫内膜功能层已基本完成重建。 |
|
|
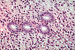
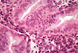
增殖期早期,腺体呈直管状,与表面垂直,腺腔狭窄(见图)。
增殖期末,腺体略呈弯曲状。 |
|
|
腺上皮最初因细胞增殖活跃呈假复层单层柱状上皮,随后恢复为单层柱状上皮。
固有层的细胞间可见轻度水肿(间质液增多)。 |
| 糖原蓄积期(第15至18天) | |
|
|
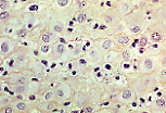
糖原蓄积发生在排卵后,与卵巢内黄体形成同步;黄体分泌的孕激素水平升高,同时雌激素持续分泌。
子宫内膜腺细胞开始合成糖原,并在细胞基底部蓄积。
这种分泌活动使细胞呈现特征性的“靶环状”外观:顶部嗜酸性胞质带、中部嗜碱性核周带、基底部淡染的糖原丰富区(透亮带)。 固有层的水肿程度逐渐加重。 |
| 分泌期(第19至23天) | |
|
|
固有层水肿达到峰值。
腺细胞以顶浆分泌方式持续分泌,导致细胞高度降低、腺腔扩大。 腺体更加弯曲,腺腔内可见分泌物。 |
|
|
水肿开始消退:固有层变得致密,腺体皱缩,血管螺旋化程度增加。 |
|
|
假孕期的腺体呈锯齿状皱缩,可见结缔组织小棘撑起的上皮簇;此时腺腔管径不规则为其特征。 |
|
|
假孕期随着水肿消退,小动脉螺旋化程度进一步增加;在同一切片视野中可见大量小动脉横断面。 |
| 前蜕膜化期(第25至26天) | |
|
|
子宫内膜表层及螺旋小动脉周围的基质细胞体积增大,变为圆形、多边形;这种蜕膜化改变使受累区域质地更致密。 |
|
|
该阶段出现多种月经来临的征象:
- 腺体塌陷,上皮细胞凋亡; - 固有层出现大量巨噬细胞和中性粒细胞(PMN); - 血管壁解离。 |
|
|
经前期常可见核固缩和核碎裂表现,尤以腺上皮为著。 |
| 月经期(第1至4天) | |
|
|
子宫内膜功能层完全崩解,以小碎片形式脱落,混于破裂血管流出的血液中排出。
基底层不受此过程影响,将在下一个周期中重建功能层。 |
|
|
若发生受精和着床,子宫内膜基质细胞完全蜕膜化,并压迫腺管。 |
|
|
妊娠期子宫内膜的蜕膜细胞为大的多边形细胞,富含脂质和糖原,细胞边界清晰。 |