子宫颈

  • 位置
    子宫颈是子宫下端狭窄的部分,与阴道相通。
    同宫体一样,子宫颈也会随激素水平发生特征性的形态学改变,只是变化程度相对较小。
  • 分部
    • 子宫颈分为两个区域:
      • 宫颈管(颈管内段):是连接子宫腔与阴道的细长管道,其黏膜可分泌宫颈黏液;
      • 宫颈阴道部(颈管外段):是宫颈向阴道穹窿突出的外表面。
    • 从医学角度而言,宫颈管内、外段的移行带是需要重点监测的区域,因为该部位是多种病理性病变的好发部位。
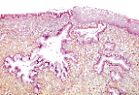
这是宫颈唇的大体镜下(CL)观察视图,可分辨出:
     - 宫颈管黏膜;
     - 宫颈阴道部黏膜;
     - 肌层。
宫颈管黏膜的特征是具有大量皱襞,皱襞表面被覆单层柱状上皮,上皮向深部凹陷形成分支状的宫颈管腺隐窝。
该上皮由黏液分泌细胞(闭合型黏液细胞)和少量纤毛细胞组成,可在激素调控下产生宫颈黏液。
宫颈管与宫颈阴道部的上皮移行分界清晰。宫颈管的单层柱状上皮被宫颈阴道部的复层扁平上皮(鳞状上皮)取代。
此视图详细展示了女性宫颈管-阴道部移行带的结构。
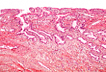
宫颈阴道部的复层扁平上皮细胞因富含糖原而呈淡染状,其厚度与雌激素的作用程度成正比。
宫颈阴道部的鳞状上皮细胞从基底层到表层逐渐“成熟”并最终脱落。可分辨出:
     - 深染的基底细胞;
     - 旁基底细胞;
     - 开始变扁平的中层细胞;
     - 表层细胞;
     - 固缩的表层细胞(核固缩表层细胞)。