卵巢
|
||
| 总体结构 | ||
|
|
卵巢由皮质和髓质构成。卵巢上皮与腹膜相延续,包绕整个器官。
皮质由富含细胞的致密结缔组织构成,是卵巢卵泡的所在部位。 髓质为结缔组织-血管区,与卵巢门相延续。 |
|
|
|
卵巢上皮由单层扁平细胞构成,部分区域可为立方状、柱状甚至纤毛柱状。
皮质间质为纤维少、细胞丰富的结缔组织,细胞常排列成束状或旋涡状。 |
|
|
|
卵巢卵泡发生于富含细胞、可塑性强的皮质间质内。 | |
|
|
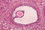
原始卵泡直径为25至50微米。
初级卵母细胞被单层扁平卵泡细胞包裹。 整个卵泡被基膜(斯拉维安斯基膜)包绕。 |
|
|
|
原始卵泡中的初级卵母细胞为大的球形细胞,其泡状核内可见明显的核仁。
胞质清亮、略呈颗粒状,可含富含线粒体的嗜酸性区域,即巴尔比亚尼体。 |
|
|
|
有时一个原始卵泡内可见两个初级卵母细胞。
人类的此类卵泡会发生退化。 |
|
|
|
初级卵泡中的初级卵母细胞体积增大。
其周围的卵泡细胞仍为单层排列,但已变为立方状。 斯拉维安斯基膜此时清晰可见,将卵泡与周围皮质间质分隔开。 |
|
|
|
该视野中可见一个原始卵泡与一个初级卵泡相邻。
初级卵母细胞在这两个阶段的体积增大十分明显。 |
|
|
|
次级卵泡(实状卵泡)中的初级卵母细胞继续发育,胞质内出现脂蛋白包涵体。
卵泡细胞活跃增殖,围绕卵母细胞形成多层同心圆排列,构成颗粒层。 初级卵母细胞与颗粒层之间出现透明带。 斯拉维安斯基膜外侧的结缔组织间质围绕卵泡呈同心圆状排列。 |
|
|
|
卵周透明带富含糖蛋白,过碘酸-希夫(PAS)染色可证实这一点。 | |
|
|
苏木精-伊红-固绿(HES)染色下,透明带呈嗜酸性。 | |
|
|
颗粒层内出现小腔隙,即考尔-埃克斯纳小体。这些腔隙充满卵泡液,是颗粒细胞分泌活动的标志。 | |
| 三级卵泡(腔状卵泡) | ||
|
|
颗粒层内的小腔隙逐渐融合,形成单个新月形腔隙,称为卵泡腔( antrum)。
三级卵泡(腔状卵泡)在斯拉维安斯基膜外侧形成两层不同的同心圆结构:近卵泡的内膜层和较外周的外膜层。 内膜层由嗜酸性细胞构成,其核质比低于颗粒细胞;丰富的毛细血管网从含梭形细胞的外膜层向内延伸至内膜层。 |
|
|
|
卵泡腔扩大使颗粒层被挤向卵泡周边,变薄为2-3层细胞,而卵母细胞下方的颗粒层仍较厚,形成卵丘。
卵泡由球形变为卵圆形。 |
|
|
|
该发育更成熟的三级卵泡中,卵泡腔进一步扩大。
偏位的初级卵母细胞向卵泡腔突出,与卵泡腔之间隔有一层卵泡细胞,即放射冠。 |
|
|
|
成熟卵泡中的卵丘变薄,形成纤细的蒂状结构。 | |
|
|
该高倍视野显示排卵前成熟卵泡的卵母细胞及其周围的放射冠。
排卵时,初级卵母细胞与卵丘分离,完成减数分裂成为次级卵母细胞;卵泡壁和卵巢上皮破裂后,次级卵母细胞连同放射冠和卵泡液被排入腹膜腔,随后被输卵管伞捕获。 |
|
|
|
排卵后,卵泡壁转化为黄体,其分泌物主要为孕激素。
原有卵泡腔被血清纤维蛋白性渗出物填充。 |
|
|
|
该高倍视野显示人类黄体的皱褶壁,其包含两层不同的细胞:内层较厚,由大的粒黄体细胞构成;外层嗜酸性更强、更薄,由膜黄体细胞构成。 | |
|
|
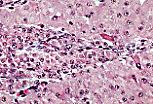
粒黄体细胞由颗粒细胞转化而来,比膜黄体细胞更小、嗜酸性更强。
粒黄体细胞和膜黄体细胞均血供丰富。 |
|
| 黄体退化:白体 | ||
|
|
未受孕时,黄体在数日后开始退化。
此阶段的特征是上皮成分被瘢痕结缔组织取代。 |
|
|
|
退化中的黄体逐渐被纤维结缔组织取代,初期可见含铁血黄素和脂质的巨噬细胞。 | |
|
|
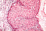
黄体完全退化后形成的最终纤维结节,大体观为白色胶原性团块,即白体。 | |
|
|
白体以边界清晰的结缔组织瘢痕形式在卵巢内保留数月。 | |
|
||
|
|
小型卵泡(原始卵泡、初级卵泡、小型实状卵泡)退化后无痕迹残留,其凋亡特征为细胞核固缩、胞质强嗜酸性。 | |
| 卵泡发生过程中的退化 | ||
|
|
退化开始的特征为卵泡塌陷,失去球形形态。
同时,颗粒细胞退化并脱落至卵泡腔,导致初级卵母细胞随之脱落。 而卵泡膜层则保留较长时间,并参与卵巢的激素分泌。 |
|
|
|
颗粒细胞退化时相互分离,可见核固缩和核碎裂现象。
卵母细胞也随之退化。 |
|
|
|
闭锁晚期,斯拉维安斯基膜因卵泡愈发明显的皱缩而增厚、皱褶。
颗粒层消失后,小血管迁移至斯拉维安斯基膜内表面,形成幼稚结缔组织。 |
|
|
|
该视野显示闭锁卵泡的壁层结构,由内向外依次为:填充卵泡腔的结缔组织、增厚且皱褶的斯拉维安斯基膜、仍具功能的内膜层和外膜层。 | |
|
|
闭锁末期,卵泡腔被填充,膜层最终消失。
仅斯拉维安斯基膜保留。 |
|
|
|
闭锁终期表现为皱褶的玻璃样变瘢痕,是斯拉维安斯基膜的最终残留痕迹。 | |
|
|
功能活跃的卵巢内,同时存在排卵卵泡遗留的黄体瘢痕和未完成卵泡发生的闭锁卵泡膜痕迹。 | |
|
与年龄相关的卵巢形态变化
卵巢的形态随年龄增长发生变化。 |
||
|
|
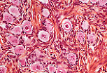
青春期前女童的卵巢皮质仅含大量原始卵泡。 | |
|
|
该青春期前女童的卵巢皮质视野显示其富含原始卵泡,出生时数量约为40万个。 | |
|
|
生育期卵巢可见卵泡发生的所有阶段,以及近期排卵遗留的黄体和既往排卵形成的白体。与青春期前相比,原始卵泡数量显著减少,且可见大量退化中的卵泡。 | |
|
|
围绝经期女性的卵巢仅残留退化中的黄体(末次排卵的痕迹),无卵泡发生。 | |