• 位置
    胃是消化管的膨大部,直接与食管相连。
  • 功能
    胃通过化学作用(分泌盐酸)、酶促作用(胃蛋白酶)和机械作用(搅拌)真正启动消化过程。
    胃黏膜中还发现有其他分泌物,尤其是内分泌相关分泌物。
  • 组织学分区
    组织学上,胃可分为3个区域,不同物种各区域占比不同:
    • 贲门部,位于胃入口处;
    • 胃底(底区);
    • 幽门部(胃窦区),位于胃出口处。
  • 观察内容

胃壁的总体结构

胃壁具有消化管共有的四层结构:黏膜层、黏膜下层、肌层和外膜,外膜几乎全部被腹膜间皮覆盖。
当胃空虚时,黏膜和黏膜下层形成大量皱襞;胃充盈时,这些皱襞则逐渐消失。
此为扫描电镜(M.E.B.)下观察到的大鼠胃(胃底区)皱襞表面的结节状外观。
整个表面布满小孔,对应胃小凹的开口处。
胃表面上皮为单层柱状上皮,由黏液颈细胞(闭锁型黏液细胞)构成。
胃小凹由该上皮内陷形成。
胃小凹底部开口处的胃腺因所在区域不同而存在差异:
          - 贲门腺
          - 胃底腺(本图所示)
          - 胃窦腺(幽门腺)
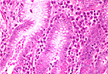
表面上皮与胃小凹
表面上皮和胃小凹的黏液细胞过碘酸-希夫反应(P.A.S.)呈阳性。
这些细胞持续分泌碱性黏液,覆盖整个胃黏膜,参与保护黏膜免受周围酸性环境的损伤。
胃黏膜对酸性环境的保护作用还依赖于闭锁带的存在以及极快的细胞更新速度。

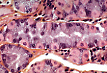
胃底区

胃黏膜中的胃腺开口于胃小凹底部。
在胃底区,胃腺占据黏膜总高度的三分之二,浅层三分之一为胃小凹。
胃底腺管腔狭窄,为单管状或分支状的直腺,其深部略弯曲。
胃底腺可分为三部分:近小凹的颈段(短而直)、较粗且凹凸不平的体段,以及盲端的底段。
颈段细胞数量少,为黏液样细胞,与表面黏液细胞相似。
颈段上皮是细胞更新的部位,既补充胃小凹和表面上皮的细胞,也补充胃腺的细胞,因此此处可见活跃的有丝分裂。
胃底腺的体段和底段有三种形态差异显著的细胞:主细胞、壁细胞和弥散内分泌系统的内分泌细胞(在苏木精-伊红-藏红花染色(H.E.S.)标本中不可见)。
主细胞数量最多,呈柱状,基底部嗜碱性,主要分泌胃蛋白酶原(胃蛋白酶的前体)和凝乳酶。
壁细胞(泌酸细胞/旁细胞)呈锥形,强嗜酸性(其线粒体参与离子转运),分泌盐酸和内因子(Castle因子),内因子是回肠吸收维生素B 12 所必需的。

胃窦区

胃窦黏膜可分为两等份:胃小凹区和胃腺区。
组织学切片上,胃窦腺因被单层闭锁型黏液细胞围绕而呈淡染状。
胃窦腺为分支管状腺,深部迂曲,管腔较宽。
除构成腺管的黏液细胞外,还含有少量弥散内分泌系统的细胞(在苏木精-伊红-藏红花染色(H.E.S.)标本中不可见)。

组织学贲门区

组织学贲门区可能与解剖学贲门区不一致。从组织学角度,它是介于(非)角化复层扁平上皮和胃底黏膜之间的区域。 人类的解剖学贲门与组织学贲门是重合的。贲门黏膜与胃窦黏膜相似,但通常更薄。
犬的食管-胃移行部。
犬的贲门区不明显,界限模糊。在贲门腺的黏液细胞中常可见壁细胞,这些腺体与胃底腺的唯一区别是无主细胞。