胆囊

  • 位置
    • 胆囊是一个壶腹状器官,紧密贴附于肝脏的脏面,且因被格利森囊(Glisson囊)包裹而与肝脏相连。
    • 胆囊为盲端结构,通过胆囊管连接至肝总管,此后肝总管便改称为胆总管(胆总管)。
  • 功能
    胆囊具有储存胆汁、浓缩胆汁的功能,并在胃排空时将胆汁释放至十二指肠。
胆囊壁由三层结构组成,从管腔向外依次为:黏膜层、纤维肌层,以及在非贴肝的游离面上部分被腹膜覆盖的结缔组织外膜。
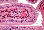
组织学切片下可见,黏膜皱襞由结缔组织轴心和其表面的单层柱状上皮构成。
在皱襞基底部,上皮内陷形成的凹陷可不同程度地深入纤维肌层,这些凹陷被称为罗-阿氏窦(Rokitansky-Aschoff窦)或憩室。
衬覆胆囊黏膜的上皮为单层柱状上皮,无特殊的细胞分化特征。