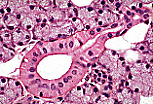
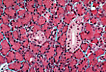
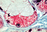
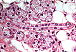
消化管附属腺体

第 1/5 页 查看页码 1 2 3 4 5