牙齿
|
|
| 牙板与牙蕾的形成 | |
|
|
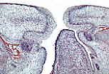
这是5周龄人类胚胎头部的矢状切面,此时唇和牙龈仍为一个由间充质组织构成的单一皱襞,
表面覆盖复层上皮。
外胚间充质细胞的诱导作用使该上皮连续内陷,形成外釉上皮和牙板。 牙蕾由牙板末端部分增生形成。 |
|
|
此视图详细显示了外釉上皮和牙板与外胚间充质细胞接触的结构。 |
| 乳牙牙胚的形成 | |
|
|
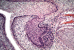
此视野显示外釉上皮基底部开放,形成唇龈沟,将前方的唇与后方的牙龈分隔开。
牙胚原基包含两部分:由牙板末端增生形成的牙蕾(发育此阶段呈杯状),以及由外胚间充质细胞构成的牙乳头。 基膜将牙胚的这两个组成部分分隔开。 |
|
|
在此发育阶段,唇龈沟使外釉上皮全程开放,牙蕾凹陷呈钟状。 |
|
|
牙蕾内的上皮细胞根据其位置发生形态分化:
牙蕾周边的细胞呈高柱状,形成外上皮壁和内上皮壁。 牙蕾内部的细胞排列成疏松网状,即釉网;部分扁平细胞聚集在内上皮壁内侧,形成中间层。 |
| 恒牙牙胚的形成 | |
|
|
此牙蕾切面可见次级牙板(又称替换牙板),由原始牙板增生形成, 最终将发育为恒牙牙胚。 |
|
|
恒牙牙胚通过迁移到达乳牙(临时牙)下方,萌出时会侵蚀乳牙牙根(牙吞噬作用)。 |
|
|
未来牙齿的牙尖在牙胚原基阶段即在内上皮壁处初步形成。 |
|
|
牙板形成牙蕾后逐渐解体,仅残留少量球状碎片,可能成为牙周囊肿的起源。 |
|
|
牙胚(包括上皮性牙蕾和外胚间充质性牙乳头)周围发育出间充质被膜,称为牙囊。 |
|
|
未来牙冠的牙釉质和牙本质形成始于牙胚钟状结构顶端,并向侧方延伸。
从基底部到顶端观察发育中的牙冠,可看到牙本质发生(牙本质合成,此切面中呈黄色) 和釉质发生(牙釉质合成,此切面中呈红色)的不同阶段。 |
|
|
牙胚基底部可见:扁平细胞构成的外上皮壁、含星状细胞的釉网、
位于内上皮壁上方的中间层。
内上皮壁的高柱状细胞将细胞核推向近中间层的顶端;基膜将内上皮壁与结缔组织性牙乳头分隔开。 |
|
|
内上皮壁的高柱状细胞即为成釉细胞(又称造釉细胞),负责形成牙釉质。
牙乳头中与成釉细胞相对排列的间充质细胞为成牙本质细胞,将分化形成牙本质。 |
| 成牙本质细胞形成牙本质的过程 | |
|
|
成牙本质细胞是牙胚中最先进入分泌期的细胞。它们远离基膜,在自身后方产生嗜银原纤维(维尔德染色呈黑色), 即科尔夫纤维,是前期牙本质的基础。 |
|
|
成釉细胞与成牙本质细胞之间随后出现无定形基质,即前期牙本质(本标本中呈淡黄色)。
成牙本质细胞后退时,向前期牙本质中伸出细长突起,即托姆斯纤维,位于牙本质小管(托姆斯小管)内。 |
|
|
相差显微镜可清晰分辨前期牙本质内的小管,这些小管大致平行,偶见分支。 |
|
|
扫描电子显微镜(M.E.B.)下可见托姆斯小管,其中的托姆斯纤维在标本制备过程中已消失。 |
|
|
前期牙本质从最古老的区域(即紧邻基膜的区域)开始矿化,形成原发性牙本质。
磷钙矿物质以球形小灶形式沉积,即切尔纳克小球(冯科萨染色可显示)。 |
| 成釉细胞形成牙釉质的过程 | |
|
|
常规染色(苏木精-伊红-固绿,H.E.S.)下,矿化骨组织牙本质的颜色始终比前期牙本质深。
牙本质/前期牙本质的界限通常因球形矿化呈锯齿状。 面对矿化牙本质,成釉细胞开始活跃:它们远离牙本质,留下托姆斯突起,并在此处分泌蛋白质基质, 以釉柱形式沉积(此切面中呈红色)。 |
|
|
釉柱为柱状结构,排列成相互交织的平行束,迅速被羟基磷灰石晶体矿化,
并通过同样矿化的柱间物质相互连接。
牙釉质被认为是最坚硬的动物组织。 |
|
|
此牙胚从外向内可见:釉网、中间层、成釉细胞及其托姆斯突起、牙釉质。
基膜将这些结构与矿化牙本质、含托姆斯纤维的前期牙本质、成牙本质细胞和牙乳头分隔开。 |
|
|
牙齿萌出时,外上皮壁、釉网、中间层和成釉细胞消失,牙釉质暴露;
而成牙本质细胞保留并持续形成牙本质,此能力终身存在(继发性牙本质)。
牙根在牙冠之后发育,由成牙本质细胞形成的牙本质,以及牙周膜细胞沉积在牙根牙本质表面的牙骨质构成; 牙骨质与骨组织极为相似。 |
|
|
这是扫描电子显微镜下牙冠表面的视图,可见釉柱结构。 |
|
|
高倍镜下可清晰观察到横切面中的釉柱和柱间物质。 |
|
|
此牙釉质纵切面可见釉柱的全程结构,柱间物质清晰可辨。 |