|
|
这张大鼠气管纵切面的视图可观察到构成气管壁的四层结构:黏膜层、黏膜下层、纤维软骨层 以及外膜。 |
|
|
在这张兔子颈部横切面上,气管位于
食管与弹性型动脉之间。
气管壁由马蹄形软骨环支撑,软骨环的缺口朝向后方。 |
|
|
软骨环在气管后壁处开放,其游离端由气管肌(平滑肌细胞)牵拉固定。
此切面上可见的横纹肌属于食管壁的组成部分。 |
|
|
气管黏膜由呼吸型假复层上皮构成,上皮附着于富含弹性纤维的固有层上。
黏膜下层含有管泡状浆液黏液腺。 纤维软骨层中的软骨为透明软骨。 本图示仅部分显示外膜结构。 |
|
|
呼吸上皮为假复层上皮,包含纤毛细胞、杯状细胞和基底细胞。此外还可见中间细胞(带有微绒毛) 和内分泌细胞(属于弥散内分泌系统),但这些细胞在此染色条件下无法观察到。 |
|
|
扫描电子显微镜(M.E.B.)下可观察到气管上皮的摆动纤毛和 较稀少的微绒毛。 |
| 肺内气道 | |
| 肺内气道整体视图 | |
|
|
|
|
|
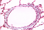
软骨性支气管起源于主支气管,位于肺内。
可通过其管壁内的软骨小结轻松识别。 伴随其走行的有肺动脉分支和支气管动脉分支。 |
|
|
软骨性支气管壁包含四层结构:黏膜层、黏膜下层、纤维软骨层
以及支气管周围组织(外膜)。
黏膜层包括假复层上皮,上皮附着于富含弹性纤维的固有层,外侧由一层平滑肌细胞(赖瑟森肌)包绕。 |
|
|
支气管上皮为呼吸型上皮,包含纤毛细胞、杯状细胞、带微绒毛的中间细胞、基底细胞 以及弥散内分泌系统的内分泌细胞。后者需特殊染色才能观察到。 |
|
|
过碘酸-希夫(P.A.S.)染色可显示出该支气管上皮的杯状细胞、上皮下基膜 以及赖瑟森肌平滑肌细胞的肌膜。 |
|
|
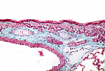
地衣红染色可突显固有层丰富的弹性纤维。
在赖瑟森肌下方可见小型支气管腺。 |
|
|
黏膜下层的支气管腺为管泡状浆液黏液腺,但通常难以区分其不同组成部分。
纤维软骨层包含软骨碎片,其数量和大小随支气管管径减小而减少。 与纤维软骨层相延续的支气管周围组织(外膜)由基质构成,其中可见弹性纤维、脂肪细胞、交感神经节 以及支气管小动脉(起源于主动脉系统)。 |
|
|
支气管周围组织中还可见淋巴管毛细血管。 |
|
|
在塌陷的肺组织中,无论管径大小,软骨性支气管的管腔均呈锯齿状。
此形态由赖瑟森肌收缩所致。
可通过向支气管树加压注射固定剂避免该人工假象。 |
|
|
走行于支气管旁的肺动脉分支为肌性动脉,管壁薄,管腔呈卵圆形(低压), 其外弹性膜与内弹性膜发育程度相当。 |
|
|
支气管动脉起源于主动脉的侧支,为肺组织输送高压含氧血。 其管径小、管壁厚,支气管小动脉分支可见于所供血支气管的外膜中。 |
| 细支气管 | |
|
|
细支气管的特征为管径小于软骨性支气管,管壁变薄,其中支气管腺稀少、软骨小结缺失。
赖瑟森肌持续存在,固定时收缩会导致无软骨支撑的管壁出现特征性皱褶。 可通过向支气管树加压注射固定剂避免该人工假象。 |
|
|
细支气管上皮相较于支气管上皮也发生改变:假复层结构减弱,纤毛细胞和杯状细胞逐渐减少。 |
|
|
移行性(呼吸性)细支气管的特征为管壁不连续,因部分肺泡嵌入而中断。 |
|
|
移行性细支气管的不连续管壁结构简化:仅包含立方上皮层,上皮附着于可能含少量平滑肌细胞的固有层。 无纤毛细胞和杯状细胞。 |
| 肺泡管 | |
|
|
此图像显示细支气管纵切面,延续为移行性细支气管,再延伸至肺泡管。肺泡管为气道管道, 管壁仅残留少量结节(插入皱襞),大量肺泡嵌入其中。 |
|
|
每个插入皱襞由少量结缔组织构成,表面覆盖立方或扁平上皮。 |
|
|
少量网状纤维参与构成这些皱襞的结缔组织支架(维尔德染色)。 |
|
交换区 |
|
|
|
肺泡管末端为无管壁的肺泡囊,多个肺泡开口于其中。
肺泡是呼吸树的盲端终末结构,为气体交换区。 |
|
|
在光学显微镜(M.O.)下难以甚至无法分辨肺泡壁细胞(I型和II型肺泡上皮细胞)。 肺泡间质包含大量毛细血管。 |
|
|
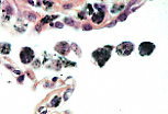
少量肺泡巨噬细胞从毛细血管迁移至肺泡腔。 |
|
|
此图像显示肺泡巨噬细胞的吞噬活性:其细胞质内充满炭尘颗粒。 |
|
|
肺泡毛细血管汇集成微静脉,再形成薄壁纤维弹性型肺静脉。 肺静脉走行于动脉-支气管鞘外。 |