血小板(血栓细胞)
(注:
巨核细胞
)
| 血小板是无细胞核的细胞碎片,在止血和血液凝固过程中发挥关键作用。 | |
|
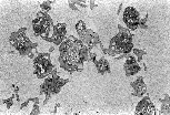
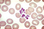
在光学显微镜(MO)下,血小板常聚集呈簇状。
血小板的中央部分(颗粒区)可见紫红色颗粒。 血小板的周边部分(透明区)构成血小板的基质,染色极浅。 |
|
| 在透射电镜(MET)下识别血小板的特征包括: 周边的微管支架、电子致密颗粒、与细胞外环境相通的管道系统。 | |
|
|
透射电镜(MET)下聚集的血小板。部分血小板内的颗粒数量有所减少。 |
| 巨核细胞是骨髓中的细胞,可产生血小板。 血小板由巨核细胞的细胞质突起断裂形成。 | |
|
|
在骨髓干细胞来源的细胞中,巨核细胞体积最大。
其单个细胞核体积大、形态不规则且呈多分叶状。 经过内复制过程,该细胞核为多倍体。 由于细胞质周边存在丝状突起,细胞质的边界显得模糊不清。 ( 返回破骨细胞 ) |