尿路上皮

尿路上皮(也称为尿路移行上皮)是一种特殊的假复层上皮, 可见于尿路系统。它主要覆盖在输尿管、膀胱 以及 尿道的起始段

膀胱壁由黏膜(包含尿路上皮)和肌层构成。

黏膜皱襞由结缔组织构成,这些结缔组织向膀胱腔突出, 其表面覆盖着尿路上皮。

肌层(由平滑肌细胞构成)位于黏膜下方。
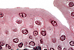
尿路上皮是一种假复层上皮。从基膜开始,可见到小的基底细胞、 "球拍状"的中间细胞和"圆顶状"的表层细胞。当膀胱充盈时, 尿路上皮会变薄,这是由于细胞被拉伸、相互滑动并扁平化, 从而降低了组织的厚度。
当膀胱空虚时,上皮表面积减小,细胞高度增加。 这种能够改变高度的特性使尿路上皮获得了移行上皮的名称。
小的基底细胞负责上皮的更新。球拍状细胞的胞体膨大, 并通过纤细的胞质突起延伸至基膜。这些细胞的胞质染色浅淡, 是由于糖原的存在。染色较深的圆顶状细胞覆盖在多个球拍状细胞之上。
PAS染色可证实球拍状细胞内存在糖原。
圆顶状细胞具有染色较深的凸面顶端。在透射电镜(MET)下, 该面的质膜可见深的内陷,并伴有增厚结构, 这些结构在上皮扩张时发挥作用。
在切向切片中,圆顶状细胞通常可见2至3个细胞核。