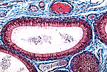
静纤毛假复层被覆上皮

静纤毛假复层被覆上皮衬贴于构成附睾的管道管腔,同时也衬贴于输精管的管腔表面。
附睾从睾丸的后缘延伸至其下端,负责储存精子并使精子获得运动能力。附睾延续为输精管,将精子输送至尿道。

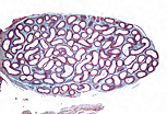
附睾内包含一条盘曲的长管,即附睾管,其位于结缔组织中。
该管道极度迂曲,因此在附睾切片中可观察到这一单一管道的大量不同切面。

附睾管的纵切面、横切面、斜切面和切线切面。

附睾管的管腔内含有精子,管腔由静纤毛假复层被覆上皮衬贴。管道周围环绕着平滑肌细胞。

假复层上皮由高度不等的细胞构成,其细胞核分布于上皮的不同水平。 tallest细胞的细胞核体积大于基底细胞的细胞核。
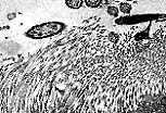
静纤毛是游离面质膜形成的细长突起,呈束状聚集分布。
扫描电镜下,静纤毛表现为细长的突起,聚集成束,如同湿画笔的刷毛。
透射电镜观察显示,静纤毛的细胞质中轴无特殊结构。静纤毛带来的表面积增加可能参与精液的生成过程。
附睾管腔内可见精子。
闭锁带在上皮细胞游离端表现为深染的细胞间连接区。它们对应于封闭细胞间隙的连接复合体。上皮游离端的切线切面可显示这些闭锁带形成的网络结构。