非角化复层扁平被覆上皮(表皮样上皮)

非角化复层扁平被覆上皮(表皮样上皮)主要衬贴于口腔、食管和阴道等腔面。
构成该上皮的角质形成细胞从上皮基底部向表面经历分化过程,形态上表现为特征性的多层细胞结构叠加。
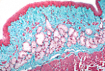
这张兔颈部组织切片中,食管位于气管后方。静息状态下,食管腔面在切片中呈皱襞状。

食管的表皮样上皮基底面因下方结缔组织的突起而形成凹陷。这些结缔组织乳头增强了上皮与结缔组织的锚定作用,并有利于上皮的营养供应。

非角化复层扁平被覆上皮(表皮样上皮)具有三层结构。
贴附于基膜的基底层(生发层)由一层嗜碱性的立方形或柱状细胞构成,该层含有干细胞,通过有丝分裂实现上皮的持续更新。
中间层由数层体积较大的多角形细胞构成,细胞核呈圆形。
表层细胞逐渐扁平并呈扁平状,细胞核发生固缩,但直至细胞脱落前仍保留细胞核。