单层立方被覆上皮

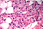
单层立方被覆上皮由单层立方细胞构成,例如构成某些排泄管的管壁。

管腔狭窄的排泄管(唾液腺闰管)由单层立方上皮细胞衬贴而成。