|
扁平上皮
扁平上皮由扁平细胞(宽大于高)构成,其游离面(顶端)可因细胞核存在而略微隆起。 |
|
|
单层扁平被覆上皮由单层扁平细胞构成。
在光镜下,细胞核两侧的细胞质几乎难以观察到。 (肾小管横切面) |
|
|
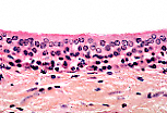
复层扁平被覆上皮由多层细胞构成,其表层细胞为扁平状,且含有扁平的细胞核。
(非角化复层扁平被覆上皮,又称表皮样上皮) |
|
|
立方上皮
立方上皮的细胞其三轴维度(高、宽、厚)相近,且不超过球形细胞核的直径。 |
|
|
单层立方被覆上皮由单层立方细胞构成。
圆形的细胞核几乎占据细胞的整个高度。 (唾液腺闰管的单层立方被覆上皮) |
|
|
复层立方被覆上皮由多层细胞构成,其表层细胞为立方状。
在汗腺导管的横切面上,贴近管腔的细胞其细胞核占据细胞的整个高度。 |
|
|
柱状上皮
柱状上皮的细胞高度明显大于细胞核的直径。 当这类细胞衬贴于管状或排泄管的弯曲表面时,呈棱柱状或锥体形。 |
|
|
|
单层柱状被覆上皮由单层柱状细胞构成。
在光镜下,这些细胞高大于宽,其椭圆形细胞核通常呈基底部排列。 |
|
|
复层柱状被覆上皮由多层细胞构成,其表层细胞为柱状。 |