上皮细胞的排列方式
|
单层被覆上皮
当细胞仅排列成一层时,该被覆上皮为单层上皮。 每个细胞均通过基膜锚定在下方的细胞外基质上。 |
|
|
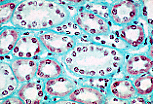
根据构成细胞的形态,单层被覆上皮可分为扁平上皮、立方上皮或柱状上皮。
(肾髓质内肾小管的横切面) |
|
|
复层被覆上皮
当细胞排列成两层或多层时,该被覆上皮为复层上皮。 仅有基底层的细胞通过基膜锚定在细胞外基质上。 |
|
|
根据构成上皮表层的细胞形态,复层被覆上皮可分为扁平上皮、立方上皮或柱状上皮。
(非角化复层扁平上皮,又称表皮样上皮) |
|
|
假复层被覆上皮
当上皮看似呈复层排列,但所有细胞均与基膜接触时,该被覆上皮为假复层上皮。 本质上这是一种特殊的单层上皮,由大小和形态各异的细胞构成。 该上皮的所有细胞均通过基膜锚定在细胞外基质上,但并非所有细胞都能到达上皮的游离面(顶端)。 这些细胞的细胞核在组织厚度方向上处于不同高度。 在较高的细胞之间可见体积较小、具有分裂能力的细胞,即基底细胞(生发细胞)。 |
|
|
生发细胞的圆形细胞核位于上皮基底部,而到达组织游离面(顶端)的细胞其细胞核呈长梭形,且位置更靠上。
(附睾的假复层静纤毛被覆上皮) |
|