|
|
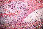
此鼻腔鼻甲切片可用于对比透明软骨组织与编织骨组织的形态特征。
|
|
|
注意表面的假复层纤毛柱状呼吸上皮(纤毛细胞和杯状细胞)、大量小腺体(外分泌腺,复管泡状,浆液粘液性,局浆分泌型),以及丰富的厚壁血管(动脉)——其平滑肌构成的肌层发育良好。
|
|
|
骨针(编织骨)形态不规则,而软骨小结节形态规则。与骨细胞不同,软骨细胞保留有丝分裂能力,因此软骨组织内可见同源细胞群。成骨细胞以上皮样排列方式分布于骨小梁周围;骨组织的细胞外基质染色强度远高于软骨组织的细胞外基质。
|
|
|
本图像与上一图像特征相似:区分这两种组织的判断标准保持不变。
|