骨发生(骨组织的形成)
| 在头皮下方,胚胎期颅盖骨为骨组织网状结构。在组织切片中,构成该网状结构的骨小梁看似相互分离。骨小梁外表面是骨组织形成面,内表面则是破骨细胞的骨组织吸收面——这一过程是为了保障大脑的发育,同时扩大颅盖骨的容积。 | |
|
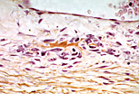
本图显示处于发育阶段的头皮:表面上皮呈复层化,但尚未完全分化,可见大量毛囊的横断面。
在标本深层,经HES染色后,骨小梁的细胞外基质被番红深染。 |
|
| 本标本与上图为同一类型,但经淡绿三色法染色:细胞外基质在此染色中被淡绿深染为绿色。 | |
| 骨组织通过结缔组织化生形成:成纤维细胞排列成列、体积增大,分化为成骨细胞;成骨细胞合成I型胶原纤维和基质,形成尚未矿化的类骨质。 | |
| 通过这一机制,骨块逐渐扩大:成纤维细胞持续分化为成骨细胞,成骨细胞呈上皮样排列,活跃合成类骨质(因此其细胞质呈嗜碱性)。成骨细胞逐个包埋于自身合成的细胞外基质中,成为骨细胞;骨细胞居于细胞外基质的腔隙(骨陷窝)内,且丧失分裂能力。 | |
| 类骨质(经番红复染呈黄色)通过钙盐沉积迅速转化为骨质,冯科萨(von Kossa)染色可验证这一过程——该染色中银离子取代钙离子并被还原,已矿化的骨组织呈棕黑色。 |