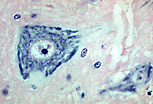
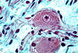
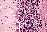
神经组织

第1页/共5页 查看页面 1 2 3 4 5