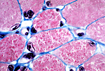
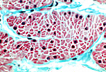
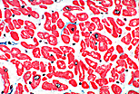
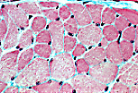
肌肉组织

第1页/共5页 查看页码 1 2 3 4 5