平滑肌与骨骼肌(横纹肌)组织的共存
|
在组织切片中可观察到骨骼肌(横纹肌)组织与平滑肌组织相邻分布。
- 食管肌层 - 骨骼肌(横纹肌)旁的血管 |
|
| 食管肌层 | |
|
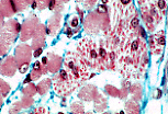
该图像显示的是人体食管的横切面。
其皱缩的管腔内侧衬有黏膜(复层扁平上皮、结缔组织固有层、平滑肌构成的黏膜肌层)。 黏膜位于结缔组织层(黏膜下层)之上,而黏膜下层又与双层肌层相邻; 在食管的该区域,肌层中同时含有骨骼肌(横纹肌)细胞和平滑肌细胞。 |
|
| 食管肌层分为两层:内层环行肌、外层纵行肌。 这种结构可同时对比骨骼肌(横纹肌)细胞与平滑肌细胞的横切面和纵切面形态。 | |
| 该图像显示的是横切的肌细胞:左侧为骨骼肌(横纹肌)细胞,其中的“红点”是横切的肌原纤维; 右侧为平滑肌细胞,其直径大小不一,每个“红点”代表细胞尖端的横切面。 | |
| 骨骼肌(横纹肌)旁的血管 | |
|
该图像可对比血管壁中横切的平滑肌细胞,与纵切(CL)或横切(CT)的骨骼肌(横纹肌)细胞。
血管(小动脉)的平滑肌细胞内侧,可见扁平的内皮细胞核沿血流方向排列。 |
|