心脏传导细胞
| 心脏心肌细胞的不随意收缩依赖于心肌自身“起搏点(pace-maker)”自动产生的冲动。 只有这些收缩的频率(即心跳频率)受神经系统调控。 该冲动通过特化的心肌细胞(构成心脏传导系统)传递至整个心肌。 因此,该系统由紧密连接的心脏传导细胞组成,细胞间通过缝隙连接(gap junctions)实现兴奋波的传导, 并协调心脏各腔室的收缩活动。 | |
| 浦肯野细胞(Purkinje细胞)是心脏传导细胞的典型代表, 它们分布于心内膜下结缔组织中,并聚集成簇。 心内膜是心脏壁最内层的结构,主要由一层内皮细胞及下方的结缔组织(纤维弹性组织)构成。 | |
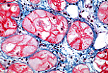
| 这是绵羊心脏组织切片(苏木精-伊红染色,HES),其中浦肯野细胞具有以下特征: 细胞体积大于心肌细胞,细胞质富含糖原(染色效果较差), 胞内含有1-2个细胞核,仅在细胞周边区域分布少量肌原纤维。 | |
| 对同一切片进行三色染色(trichrome)后,可观察到相同的细胞特征: 体积大、细胞质富含糖原、肌原纤维分布于细胞周边。 | |
| 过碘酸-希夫染色(PAS) 证实了糖原的存在; 由于人工伪影(artefact),糖原主要分布于心脏传导细胞的周边区域。 | |