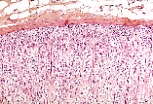
| 外分泌腺或内分泌腺的腺细胞可聚集并形成特化形态的结构:分泌单位。 | |
|
外分泌腺的分泌单位
外分泌腺的分泌单位具有一个盲端,与开放端相对,腺细胞的分泌物从开放端排出。 这些外分泌分泌单位的形态包括管状( 直管状 - 曲管状 - 蜿蜒管状 - 蟠管状 - 分支管状 )、 泡状(腺泡) 或 肺泡状 。 |
|
|
直管状分泌单位具有狭窄、笔直的管腔,分泌物排入其中。其形态类似于化学家使用的试管。
利贝昆腺(肠腺)的分泌单位就是典型的直管状分泌单位。 沿该单位狭窄管腔分布的杯状细胞与肠上皮细胞共同通过局浆分泌的方式释放黏液。 |
|
|
曲管状分泌单位是指其深部末端弯曲的管状结构。
胃底腺的分泌单位符合这一形态特征。 该腺体的管壁中可观察到两种腺细胞:嗜酸性的壁细胞(分泌盐酸)和基底部嗜碱性的主细胞(分泌酶原)。 |
|
|
蜿蜒管状分泌单位为非笔直的管状结构。
子宫内膜腺的分泌单位其深部为蜿蜒的管状结构。 |
|
|
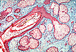
蟠管状分泌单位是指自身盘绕的管状结构。
外泌汗腺的分泌单位(外泌汗腺管)就是典型的例子。 由于其盘绕形态,该导管在本切片中被多次切割,呈现出不同的切面形态。 管壁由柱状、略呈嗜酸性的腺细胞构成,这些细胞分泌汗液。 腺细胞基底部下方可见肌上皮细胞。 |
|
|
|
分支管状分泌单位
是指在多个盲端发生分支的管状结构。
胃幽门腺的分泌单位 就是典型的例子。 其管壁由柱状透明细胞构成,这些细胞为黏液细胞,可合成黏液。 |
|
|
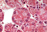
泡状(腺泡)分泌单位
呈圆形,具有狭窄的中央腔。
腺泡由围绕中央腔排列的锥体形腺细胞构成。
分泌物排入该中央腔,中央腔与排泄管相通。
例如,这是唾液腺的浆液性腺泡。 该腺泡的腺细胞分泌酶原,可通过其嗜碱性的基底部、圆形的细胞核以及位于顶部的嗜酸性酶原颗粒识别。 |
|
|
肺泡状分泌单位
为圆形结构,由单层细胞围绕而成,因分泌物充盈而膨大。
附属于毛囊、合成皮脂的皮脂腺的分泌单位即为肺泡状。 |
|
内分泌腺的分泌单位
除甲状腺外,所有内分泌腺均具有 索状分泌单位 。 为实现分泌物的临时储存, 甲状腺的分泌单位呈球形,形成由腺细胞围绕而成的 甲状腺小囊(或甲状腺滤泡) 。 |
|
|
|
内分泌腺细胞排列成相互吻合的细胞索。
细胞索之间的间隙由毛细血管填充,毛细血管收集其分泌物。
肾上腺皮质就是典型的例子。 |
|
|
甲状腺小囊(或甲状腺滤泡)由单层腺细胞围绕而成,中央腔充满胶质。
在本切片中,可观察到一个合成降钙素的透明细胞(C细胞)散在于合成甲状腺激素的甲状腺滤泡上皮细胞之间。 |