|
舌下腺是三大主要唾液腺之一,位于口腔底、舌系带附近。其短的主排泄管开口于下颌下腺管附近,或与下颌下腺管汇合后开口。
舌下腺是外分泌腺的典型代表,属于复管泡状腺(腺泡-管状腺)、以黏液性为主的浆黏液性腺、局浆分泌型混合性腺。 舌下腺参与唾液的合成,主要贡献黏液成分,浆液成分较少。唾液为低渗性水性分泌物,包含酶类(淀粉酶和溶菌酶)、乳铁蛋白、黏液和抗体。其水性成分可湿润口腔;黏液成分具有润滑作用,便于咀嚼;溶菌酶、乳铁蛋白(抗菌物质)及抗体可发挥保护作用;淀粉酶则启动食物的消化过程。 |
|
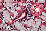
| 舌下腺被结缔组织被膜包裹,被膜发出结缔组织隔(间隔),将腺体分隔为叶,再进一步分隔为更小的小叶。这种结构是复外分泌腺的典型特征。 | |
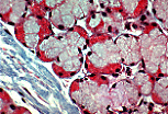
| 小叶内可见分泌单位与排泄管混杂分布。在此低倍放大视野下,因分泌单位中黏液细胞占主导,整体呈现浅染的特征。 | |
| 分泌单位以管泡状为主,由排列成管状的顶端闭合型黏液性腺细胞,以及聚集在管状盲端形成詹努齐新月(半月板)的浆液性腺细胞构成。柱状的黏液性腺细胞核被挤压至基底部,胞质内充满不易着色的黏原颗粒;浆液性腺细胞内的嗜酸性酶原颗粒保存完好,这些颗粒被分泌后,通过细胞间小管进入分泌单位的腔隙。 | |
| 黏液性管状结构开口于闰管(纵切),该闰管的管径略宽于腮腺和下颌下腺的闰管,便于黏液含量更高、黏度更大的唾液通过。闰管管壁由单层立方上皮构成。横切的普格尔管(纹状管)可通过其特征识别:管壁为单层柱状上皮,细胞基底部可见嗜酸性纵纹。 | |
| 在小叶间结缔组织隔内可见大管径的集合管,其管壁由复层柱状上皮构成,上皮附着于基膜。管腔内含有唾液,其中可见脱落的上皮细胞核。 | |