下颌下腺

下颌下腺是三大主要唾液腺之一,位于颈部、下颌角处。其主排泄管(沃顿管/Wharton管)开口于口腔底,舌系带旁。
下颌下腺是外分泌腺的典型代表,属于复管泡状腺(腺泡-管状腺)、以浆液性为主的浆黏液性腺、局浆分泌型混合性腺。
下颌下腺参与唾液的合成,主要贡献浆液成分,黏液成分较少。唾液为低渗性水性分泌物,包含酶类(淀粉酶和溶菌酶)、乳铁蛋白、黏液和抗体。其水性成分可湿润口腔;黏液成分具有润滑作用,便于咀嚼;溶菌酶、乳铁蛋白(抗菌物质)及抗体可发挥保护作用;淀粉酶则启动食物的消化过程。

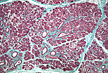
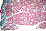
下颌下腺被结缔组织被膜包裹,被膜发出结缔组织隔(间隔),将腺体分隔为叶,再进一步分隔为更小的小叶。这种结构是复外分泌腺的典型特征。

此视野中,纤细的结缔组织隔将腺实质分隔为小叶的结构清晰可见。

小叶内可见分泌单位和不同管径排泄管的切面混杂分布。
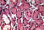
在占主导地位的浆液性腺泡分泌单位中,可见少量混合性分泌单位(其黏液细胞着色浅)。在此放大倍数下,小叶间结缔组织隔内的大管径排泄管(集合管)已清晰可见。

此视野展示了下颌下腺内腺细胞构成分泌单位的排列方式。
黏液分泌细胞聚集形成长管状、末端膨大的管泡结构(管泡腺);而浆液性腺细胞则聚集形成腺泡,或呈“半月形”覆盖于管泡腺盲端,即半月板(詹努齐新月/Gianuzzi新月)。
图像中央为被詹努齐浆液新月覆盖的黏液性管泡腺;图像周边为浆液性腺泡。柱状的黏液性腺细胞(顶端闭合型)细胞核被挤压至基底部,胞质顶端充满着色浅的黏原颗粒;浆液性腺泡的细胞则具有位于基底部的圆形细胞核、嗜碱性的基底部及嗜酸性的酶原颗粒。
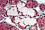
分泌物在腺泡或管泡腺中生成后,首先通过闰管转运;闰管管腔由单层立方上皮围成,上皮附着于基膜。
这些闰管汇合形成普格尔管(纹状管)。
普格尔管的管腔由柱状上皮细胞围成,细胞基底部有嗜酸性纵纹,细胞核位于细胞中部。该纵纹由基膜内褶间的大量线粒体形成,这种结构特化使该管道参与水和电解质的主动转运。普格尔管随后汇合形成更粗的集合管(未展示)。