排泄管系统的结构
|
外分泌腺的分泌单位为将分泌物排至体外或与体外相通的腔隙,既可直接开口于体外,也可通过排泄管将分泌物输送至体外。
根据排泄管的结构特征,可将外分泌腺分为单管状外分泌腺和复管状外分泌腺。 |
|
| 单管状外分泌腺 | |
|
单管状外分泌腺可无排泄管结构。
例如,利贝昆腺(肠腺)的分泌单位直接开口于肠腔。 |
|
|
单管状外分泌腺可通过无分支的排泄管输送分泌物。
例如,外泌汗腺的分泌单位将汗液排入该腺体自身的汗腺管(排泄管),借助这条无分支的排泄管,汗液可被输送至体表。 |
|
| 每个皮脂腺通过一条短管将分泌物排入毛囊,短管的上皮与表皮上皮相似。 | |
| 复管状外分泌腺 | |
|
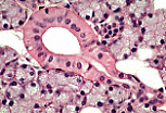
复管状外分泌腺采用分支状的排泄管系统。
切片中可见不同管径、不同管壁厚度的排泄管共存,这是分支状排泄管系统存在的佐证。例如,在腮腺的此视野中,可见两种排泄管:闰管(管腔狭窄,由单层立方上皮构成,上皮附着于基膜)和接续闰管的普格尔管(纹状管,管腔较宽,由单层柱状上皮构成,上皮附着于基膜且基底部有皱褶)。 |
|