|
皮脂腺是皮肤腺的一种,分布于全身(手掌和足底除外),分泌油性物质——皮脂。皮脂由脂质混合物(甘油三酯和蜡质)及腺细胞死亡后产生的细胞碎片组成。皮脂被排至皮肤表面,发挥保护作用:软化并润滑毛发和皮肤;当外界湿度降低时,减少水分蒸发;此外还具有杀菌作用。皮脂腺在青春期受雄激素影响而激活。
本文仅展示与毛囊相连的皮脂腺。毛囊生成毛发(角质化的上皮结构),由表皮(B型角化复层扁平上皮)的管状凹陷构成,外包结缔组织。一个或多个皮脂腺通过短管开口于毛囊,短管的上皮与表皮上皮相同。 皮脂腺属于外分泌腺,为单泡状腺,以全浆分泌方式分泌脂质。 |
|
|
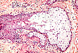
皮脂腺与毛囊的结合关系。
切片平面未必能同时显示毛囊与表皮的连接部,以及皮脂腺与分泌皮脂的毛囊的连接部。因此在本图像中,部分毛囊和部分腺细胞群看似孤立分布于结缔组织中。 |
|
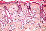
| 此视野显示皮脂腺、立毛肌与毛囊的位置关系。皮脂腺由毛囊上皮壁向外突出发育而成。立毛肌由平滑肌细胞构成,一端附着于皮脂腺下方的毛囊鞘,另一端插入乳头层真皮;其收缩可使毛囊内的毛发竖立。 | |
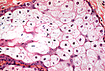
| 皮脂腺的分泌单位呈泡状,基底附着于基膜。基膜覆盖皮脂腺基底部的区域负责补充因全浆分泌而脱落的细胞,因此仅该区域可称为生发层。分泌单位形似装满细胞的囊,通过短的开口将分泌物排入毛囊(本切片中毛囊腔不可见)。 | |
| 皮脂腺腔内可见两种细胞:腺细胞(皮脂腺细胞)和分隔细胞。 皮脂腺细胞的成熟过程从周边向中心及腺口方向推进:胞质中逐渐积累脂滴,使细胞呈透亮状;随着脂滴体积增大,中央的细胞核固缩退化;最终整个皮脂腺细胞被排出(全浆分泌)。此外还可见星芒状的分隔细胞,此类细胞不积累脂滴。 | |
| 此放大视图解释了皮脂腺细胞为何被称为海绵细胞:脂滴呈非融合性包涵体,在石蜡包埋过程中被溶解,使细胞呈现海绵状外观。 | |
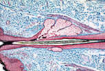
| 采用冰冻切片(可保留脂滴)并经"脂肪红(Fettrot)"染色后,皮脂腺细胞内脂滴的渐进性积累过程尤为清晰可见。 | |