纯性与混合性分泌单位
| 分泌单位若仅由单一类型的腺细胞构成,称为纯性分泌单位;若由至少两种类型的腺细胞构成,则称为混合性分泌单位。以此类推,仅含单一腺细胞类型的腺体为纯性腺,含至少两种腺细胞类型的腺体为混合性腺。 | |
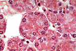
| 纯性分泌单位(纯性腺) | |
| 腮腺的所有腺泡均由浆液性腺细胞构成,因此属于纯性腺。 | |
|
|
浆液性腺泡的放大视图显示:构成腺泡的锥体形腺泡细胞围绕着极狭窄的中央腔。分泌物排入该腔隙,此腔与排泄管相通。 |
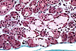
| 混合性分泌单位(混合性腺) | |
| 下颌下腺和舌下腺属于混合性腺,因其部分分泌单位同时包含浆液性腺细胞和顶端闭合型黏液性腺细胞。 | |
|
|
此放大视图展示了混合性分泌单位内腺细胞的排列方式:柱状的黏液性腺细胞(顶端闭合型)细胞核被挤压至基底部,胞质内充满着色浅的黏原颗粒;浆液性腺细胞被排挤到分泌单位的盲端,形成半月形的半月板(詹努齐新月/Gianuzzi新月)。细胞间小管使分泌物能够流向分泌单位的腔隙。 |