腮腺

腮腺是三大主要唾液腺之一,位于耳下方和前方(下颌骨升支后方)。其主排泄管(腮腺管,又称Sténon管)开口于口腔内上颌第二磨牙相对的位置。
腮腺是纯浆液性、局浆分泌、腺泡状、复管泡状、纯外分泌腺的典型代表。
腮腺参与唾液中浆液成分的合成。唾液为低渗性水性分泌物,包含酶类(淀粉酶和溶菌酶)、乳铁蛋白、黏液和抗体。其水性成分可湿润口腔;黏液成分具有润滑作用,便于咀嚼;溶菌酶、乳铁蛋白(抗菌物质)及抗体可发挥保护作用;淀粉酶则启动食物的消化过程。

腮腺被结缔组织被膜包裹,被膜发出结缔组织隔(间隔),将腺体分隔为叶,再进一步分隔为更小的小叶。这种结构是复外分泌腺的典型特征。

此视野中,纤细的结缔组织隔将腺实质分隔为小叶的结构清晰可见。

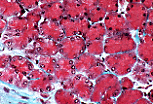
小叶内可见分泌单位和不同管径排泄管的切面混杂分布。
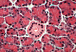
腮腺的分泌单位为着色深的浆液性腺泡。其中可见管径逐渐增大的排泄管:闰管(腮腺中又称波尔管/Boll管)和纹状管(普格尔管/Pflüger管)。
所有这些结构均由纤细的结缔组织板分隔。

浆液性腺泡呈圆形,由锥体形的浆液性腺细胞围成,中央为极狭窄的腺泡腔。这些细胞的基底部有圆形细胞核,基底部呈嗜碱性(与粗面内质网的存在有关),顶端有嗜酸性的酶原颗粒。此类细胞分泌水性的酶类物质。
分泌物首先通过细管径的闰管(腮腺中称为波尔管/Boll管)转运。闰管管壁为单层立方上皮,围绕狭窄的管腔。波尔管汇合形成普格尔管(纹状管),本图像中可见其横切面和纵切面。
图像中央横切的普格尔管(纹状管)管腔由单层柱状上皮围成,上皮细胞基底面附着于基膜。上皮细胞基底部可见(嗜酸性)纵纹,使细胞核被推至细胞中1/3处,顶端可见清晰的闭锁堤。基底部的嗜酸性纵纹与基膜内褶间的大量线粒体有关;该结构使普格尔管细胞能够主动转运水和电解质。
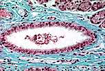
普格尔管汇合形成大管径的排泄管(集合管),走行于小叶间结缔组织隔内。集合管管腔宽大,管壁依部位不同可为假复层上皮、复层立方上皮或复层柱状上皮。集合管腔内含有唾液,结缔组织隔旁可见浆液性腺泡。